We are now accepting the Canadian Dental Care Plan Learn More

Restore Enamel Without Drilling: Gentle Resin Infiltration

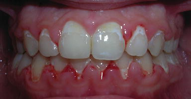
Gentle Care for White Spot Lesions

White spots on teeth can make your smile look uneven and dull. Resin infiltration offers a gentle solution by filling microscopic pores in the enamel, helping those spots blend naturally with the rest of your tooth surface—restoring a smooth, uniform look without any invasive procedure.

Stop Early Tooth Decay in Its Tracks

Cavities don’t appear overnight—they start as early enamel lesions. With resin infiltration, we can seal these weak areas before they develop into cavities. This proactive approach strengthens the enamel, preserves natural tooth structure, and reduces the need for future drilling or fillings.

Quick and Comfortable Treatment

Many dental treatments require multiple visits and long recovery times. Resin infiltration is different—it can usually be completed in a single appointment. The process is painless, minimally invasive, and provides noticeable improvements in both function and aesthetics right away.

No Drills, No Needles, No Stress

If dental anxiety has kept you from getting the care you need, resin infiltration may be the right choice. Since it doesn’t involve drilling or anesthesia, the entire process is stress-free. Patients can sit back comfortably while their smile is restored in a safe, relaxing environment.

Improve Both Health and Aesthetics

Resin infiltration isn’t just about stopping decay—it also restores beauty. By sealing enamel and reducing the appearance of white or chalky spots, the treatment brings back a natural shine and healthier look to your teeth, allowing you to smile with confidence again.

Perfect for Orthodontic White Spots

It’s common to notice white marks after braces are removed. Resin infiltration targets these post-orthodontic lesions by filling enamel pores and improving light reflection, so the treated teeth match seamlessly with surrounding enamel. The result is a brighter, more even smile.

Key Benefits of Resin Infiltration

A Long-Lasting, Minimally Invasive Solution

Because resin infiltration works beneath the surface of your enamel, it provides long-lasting reinforcement where your teeth need it most. This minimally invasive technique not only prevents cavities but also enhances aesthetics—making it an effective, durable, and patient-friendly solution.

Why Choose Shoreline Dentistry for Resin Infiltration?

Long-Lasting Protection for a Healthier Smile

A confident smile has the power to change the way you feel and the way others perceive you. Cosmetic dentistry goes beyond appearance—it brings positive changes to your lifestyle and overall well-being.